Bọc răng sứ có bị tụt lợi phải làm sao?

Bạn đang gặp vấn đề với răng sứ bị tụt lợi và đang tìm kiếm giải pháp hiệu quả? Đừng lo lắng, chúng tôi sẽ hướng dẫn bạn cách khắc phục tình trạng này một cách an toàn và hiệu quả.

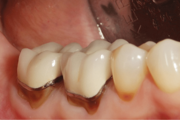
Nguyên nhân làm răng sứ bị tụt nướu

Bac si tay nghe kem se de mai rang sai ty le, khien rang su lech khoi rang that-100

Trên thực tế, việc áp dụng phương pháp bọc răng sứ là một giải pháp phục hình thẩm mỹ răng miệng an toàn và hiệu quả. Phương pháp này không chỉ không gây kích ứng trong môi trường khoang miệng mà còn không ảnh hưởng đến sức khỏe nói chung. Tuy nhiên, trong một số trường hợp, tụt lợi của răng sứ có thể xuất phát từ những nguyên nhân sau đây:

Chuyên môn kinh nghiệm kém của bác sĩ điều trị:

Bác sĩ không có đủ kinh nghiệm chuyên môn trong việc lên phác đồ điều trị phù hợp. Việc mài cùi răng không đúng cách trong quá trình bọc sứ có thể làm mất sự sát khít giữa răng sứ và thân răng thật, tạo kênh và cộm, dẫn đến hở viền lợi. Sự chủ quan trong việc chẩn đoán tình trạng răng miệng trước khi thực hiện bọc răng sứ cũng có thể dẫn đến tụt lợi do bệnh lý không được chữa trị kịp thời.

Kỹ thuật lấy dấu răng không đúng:

Việc áp dụng kỹ thuật lấy dấu răng không đúng cũng góp phần tạo ra sai số và ảnh hưởng đến quá trình chế tác răng sứ. Khi lắp răng, sự không sát khít giữa mão răng sứ và cùi răng tạo ra kẽ hở, gây thuận lợi cho vi khuẩn và mảng bám tích tụ, tạo điều kiện cho các vấn đề về sức khỏe nướu và tụt lợi.

Thiếu ứng dụng máy móc công nghệ hiện đại:

Quá trình thăm khám, mài răng, và bọc sứ đều cần sự hỗ trợ của máy móc và công nghệ nha khoa hiện đại để đảm bảo độ chính xác tuyệt đối. Nếu không có trang thiết bị hiện đại, cơ sở nha khoa có thể gặp sai số trong quá trình điều trị. Dẫn đến việc răng sứ không sát khít với cùi răng, và những vấn đề khác sau khi bọc sứ.

Chất liệu răng sứ kém chất lượng:

Chất lượng của mão răng sứ đóng vai trò quan trọng trong việc ngăn chặn tụt lợi. Sử dụng sứ không rõ nguồn gốc và kém chất lượng có thể gây kích ứng trong môi trường khoang miệng, không chỉ dẫn đến tụt lợi mà còn ảnh hưởng tiêu cực đến sức khỏe răng miệng.

Chăm sóc và vệ sinh răng miệng không đúng cách:

Sau khi bọc răng sứ, việc chăm sóc răng miệng không đúng cách, chẳng hạn như chải răng quá mạnh hoặc sử dụng bàn chải cứng, có thể tạo ra ma sát trên răng sứ, tạo ra khoảng hở, thuận lợi cho vi khuẩn xâm nhập và gây tụt lợi.

Răng sứ bị tụt lợi khắc phục thế nào hiệu quả? 

Để khắc phục tình trạng răng sứ bị tụt lợi một cách an toàn và hiệu quả nhất, việc đến cơ sở nha khoa uy tín là quan trọng. Bác sĩ sẽ thăm khám và xác định nguyên nhân của tình trạng tụt lợi, đồng thời đánh giá mức độ nặng nhẹ để đưa ra phương án điều trị phù hợp, đem lại kết quả tối ưu. Dưới đây là một số phương pháp khắc phục tình trạng răng sứ tụt lợi:

Trường hợp răng sứ tụt lợi do không thực hiện đúng kỹ thuật:

Bác sĩ sẽ điều chỉnh quy trình mài răng bọc sứ để đảm bảo sự sát khít giữa mão sứ và cùi răng. Mão răng sứ cũ có thể cần tháo ra và thiết kế lại để đảm bảo phù hợp với cùi răng hiện tại. Quá trình này bao gồm việc vệ sinh cùi răng, lấy dấu răng, và thực hiện lại bước bọc răng sứ để đảm bảo sự đồng đều và không tạo ra biến chứng.

Trường hợp chưa điều trị dứt điểm các bệnh lý răng miệng:

Bác sĩ sẽ thăm khám, tháo mão răng sứ cũ, và tiến hành điều trị các bệnh lý răng miệng như sâu răng, viêm nướu, viêm nha chu, trước khi bọc lại mão răng sứ cũ hoặc làm mới mẫu răng sứ theo kích thước chính xác.

Trường hợp mão răng sứ kém chất lượng:

Lựa chọn một cơ sở nha khoa uy tín để chế tác và thay mão răng sứ mới là quan trọng. Nha khoa có phòng labo chế tác răng sứ riêng biệt giúp đảm bảo nguồn gốc và chất lượng của mão răng sứ. Việc này giúp tiết kiệm thời gian và chi phí, và đồng thời giảm thiểu sai số do không qua trung gian.

Chăm sóc và vệ sinh răng miệng không đúng cách:

Bác sĩ sẽ thực hiện quy trình vệ sinh và gắn lại mão răng sứ. Để tránh tình trạng răng sứ bị tụt lợi, người bệnh nên chú ý đến vệ sinh răng miệng, bao gồm chải răng đúng cách ít nhất 2 lần mỗi ngày, sử dụng bàn chải lông mềm và thao tác nhẹ nhàng. Có thể kết hợp với chỉ nha khoa, tăm nước, và nước súc miệng để đảm bảo làm sạch toàn diện và ngăn chặn bệnh lý răng miệng.

Đừng để tình trạng răng sứ bị tụt lợi làm ảnh hưởng đến nụ cười và sức khỏe nướu của bạn. Hãy đến ngay cơ sở nha khoa uy tín để nhận sự chăm sóc chuyên nghiệp và khắc phục tình trạng này một cách toàn diện. Bạn xứng đáng có một nụ cười hoàn hảo và tự tin!

Trả lời

Email của bạn sẽ không được hiển thị công khai. Các trường bắt buộc được đánh dấu *

Facebook Chat