Răng sứ thẩm mỹ
Hướng dẫn cách chăm sóc răng sứ giúp kéo dài tuổi thọ
29 Tháng Sáu, 2023
Sau khi bọc răng sứ, để có thể duy trì được độ bền đẹp thì bạn cần có một chế độ chăm sóc và vệ sinh răng miệng phù hợp. Dưới đây là những cách chăm sóc sau khi làm răng sứ mà bác sĩ tại nha khoa Thùy Anh hướng dẫn, mời các bạn [...]
Xem thêm
Có nên làm răng sứ titan? Ưu nhược điểm của răng sứ titan
Răng sứ Titan là dòng răng sứ kim loại đang rất phổ biến hiện nay....
Xem thêm
Răng sứ titan có tốt không? Trường hợp nào nên bọc sứ titan?
Phục hình thẩm mỹ bằng răng sứ Titan là một trong những giải pháp khá...
Xem thêm
Răng sứ Titan có mấy loại? Làm răng sứ Titan có tốt không?
Bọc răng sứ Titan là một phương pháp trong nha khoa nhằm khắc phục những...
Xem thêm
Nên bọc răng sứ loại nào? Loại nào tốt nhất?
Bọc răng sứ là giải pháp khắc phục những khuyết điểm của răng nhanh nhất...
Xem thêm
Răng sứ emax có tốt không? Nha khoa Thùy Anh
Bọc răng sứ là giải pháp phục hồi hình dáng và chức năng của răng...
Xem thêm
Dán sứ Veneer và bọc răng sứ khác nhau như thế nào?
Dán sứ Veneer một phương pháp thẩm mỹ răng miệng được ưa chuộng hiện nay,...
Xem thêm
Tại sao cần lắp răng tạm sau làm sứ? Nha khoa Thùy Anh
Nếu bạn đã tìm hiểu về kỹ thuật bọc răng sứ thì chắc hẳn đã...
Xem thêm
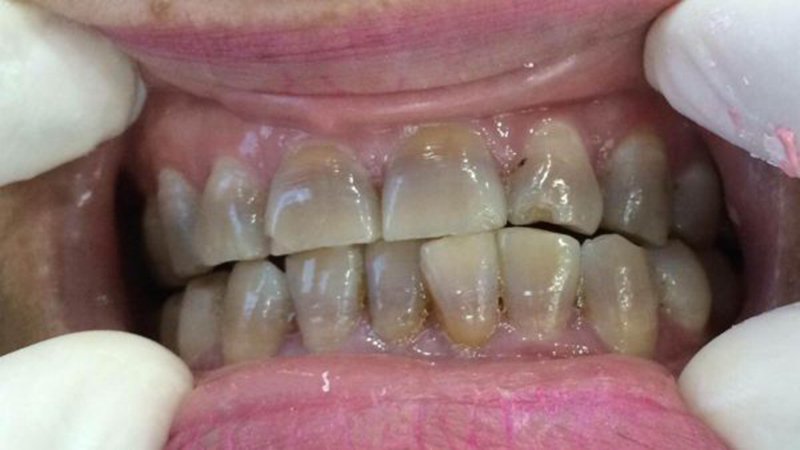
Răng nhiễm tetracycline: Nguyên nhân và cách khắc phục
Răng nhiễm Tetracycline sẽ gây ảnh hưởng lớn tới tính thẩm mỹ của nụ cười...
Xem thêm
Răng toàn sứ là gì? Răng toàn sứ có tốt không?
Hiện nay, khi thực hiện làm răng sứ các bác sĩ thường khuyên bệnh nhân...
Xem thêm












