Răng nhiễm Tetracycline sẽ gây ảnh hưởng lớn tới tính thẩm mỹ của nụ cười và biến chứng thành những bệnh lý răng miệng. Vậy nguyên nhân khiến răng nhiễm màu Tetracycline là gì? Cách khắc phục như thế nào? Mời các bạn cùng tìm hiểu thông tin trong bài viết dưới đây.
Tetracycline là như thế nào?
Tetracyclin là một loại kháng sinh phổ biến, có tác dụng trên nhiều loại vi khuẩn gây bệnh (vi khuẩn gram dương, gram âm, vi khuẩn hiếu khí, kỵ khí).
Tetracyclin được chỉ định sử dụng trong các trường hợp:
- Nhiễm khuẩn Chlamydia (bệnh mắt hột, bệnh nhiễm khuẩn đường sinh dục, tiết niệu…),
- Mycoplasma (bệnh nhiễm khuẩn sinh dục, viêm phổi,…), Rickettsia,
- Bệnh tiêu chảy cấp tính do phẩy khuẩn tả (Vibrio cholerae) gây ra.
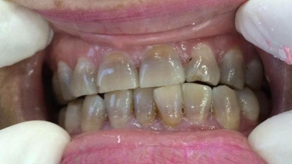
Răng nhiễm Tetracycline là tình trạng răng bị ố màu (vàng, đen sẫm hoặc màu răng bị loang lổ) do tác dụng phụ của Tetracyclin. Răng nhiễm Tetracycline là răng tối màu từ bên trong mô răng, nó hoàn khác với nhiễm màu từ thực phẩm.
Nguyên nhân khiến răng bị nhiễm màu tetracycline
Khi bạn uống kháng sinh Tetracycline kết hợp cùng với canxi trong xương sẽ gây hỏng lớp men răng. Khiến răng xuất hiện màu vàng, nâu vĩnh viễn. Ngoài ra, nó còn khiến răng bị biến dạng, ảnh hưởng tới thẩm mỹ của răng.
Ngoài ra, răng nhiễm tetracycline còn có thể do di truyền hoặc bẩm sinh. Phụ nữ mang thai dùng thuốc kháng sinh có chứa tetracycline thì em bé khi được sinh ra cũng dễ có nguy cơ bị nhiễm kháng sinh. Bên cạnh đó, việc sử dụng tetracyclin ở giai đoạn cuối thai kỳ sẽ làm ngăn chặn sự phát triển xương của trẻ.
Khắc phục răng nhiễm tetracycline bằng cách nào?
- Tẩy trắng răng
Với những trường hợp răng bị nhiễm màu Tetracycline nhẹ, màu của thuốc chưa ăn sâu vào bên trong thân răng thì có thể sử dụng phương pháp tẩy trắng răng để khắc phục.
Khi tẩy trắng răng bác sĩ sẽ sử dụng thuốc kết hợp với năng lượng ánh sáng từ máy laser whitening để tạo ra phản ứng oxi hóa, giúp cắt đứt chuỗi protein có trong màu răng, giúp răng trắng hơn so với màu răng trước khi bị nhiễm màu.
- Bọc răng sứ

Đây là phương pháp bác sĩ thực hiện mài bớt lớp men răng bị nhiễm màu theo tỷ lệ an toàn, sau đó bọc mão sứ bên ngoài thân răng để tạo ra một chiếc răng mới hoàn chỉnh, thẩm mỹ hơn với độ tự nhiên như răng thật. Bọc răng sứ vừa giúp tăng tính thẩm mỹ của răng vừa giúp tránh những bệnh lý răng miệng.
Cách phòng tránh tình trạng răng nhiễm Tetracycline
Cách đầu tiên và hiệu quả nhất để phòng tránh tình trạng răng bị nhiễm màu tetracycline là bạn hãy luôn tìm hiểu kỹ thành phần của các loại thuốc kháng sinh chứa tetracycline, tham khảo ý kiến bác sĩ để lựa liều lượng phù hợp cho trường hợp cần sử dụng. Dựa vào đó, bác sĩ sẽ chỉ định liều lượng phù hợp các loại dược phẩm chứa Tetracycline để phòng tránh răng nhiễm Tetracycline.
Bạn cùng cần chú ý việc vệ sinh răng miệng sạch sẽ và đúng cách để giúp nâng cao sức khỏe răng miệng một cách toàn diện. Sử dụng các loại kem đánh răng chứa hàm lượng fluor cao cùng chất làm trắng. Chải răng đúng cách, dùng them chỉ nha khoa và nước súc miệng để giúp bảo vệ sức khỏe răng miệng tốt hơn.
Hạn chế sử dụng thực phẩm và đồ uống chứa đường hóa học hay có màu như cafe, nước giải khát có gas có màu… để tránh làm gây ảnh hưởng đến màu sắc của răng.
Bên cạnh đó, cần hạn chế sử dụng đồ uống có cồn với nồng độ cao, thuốc lá hay chất kích thích khiến cho sức khỏe răng miệng bị ảnh hưởng nghiêm trọng hơn việc nhiễm tetracycline.
Trên đây là thông tin chia sẻ về tình trạng răng bị nhiễm màu tetracycline. Hãy chú ý tới việc chăm sóc sức khỏe răng miệng để có một hàm răng trắng sáng và nụ cười rạng rỡ hơn. Hy vọng bài viết trên sẽ hữu ích với bạn đọc, nếu đang gặp phải tình trạng tương tự hãy liên hệ ngay với nha khoa Thùy Anh để được tư vấn cụ thể hơn.





