Khi tìm kiếm dịch vụ bọc răng sứ, nhiều người thường bị thu hút bởi mức giá rẻ mà chưa hiểu rõ những rủi ro tiềm ẩn. Vậy làm răng sứ giá rẻ có tốt không? Hãy cùng phân tích chi tiết để đưa ra quyết định đúng đắn.
Răng sứ giá rẻ là gì?
Răng sứ giá rẻ thường được cung cấp với mức giá thấp hơn nhiều so với các loại răng sứ cao cấp, như răng sứ toàn sứ (Emax, Cercon). Những lý do chính dẫn đến sự chênh lệch giá này bao gồm:

Chất liệu sản xuất:
- Răng sứ giá rẻ chủ yếu là răng sứ kim loại. Lõi răng được làm bằng kim loại (như niken-crom hoặc hợp kim titan) và bọc bên ngoài bằng một lớp sứ.
- Loại vật liệu này không cao cấp, dễ bị oxy hóa và không có độ trong tự nhiên như răng thật.
Nguồn gốc không rõ ràng:
- Một số răng sứ giá rẻ được nhập khẩu từ các nhà sản xuất không đảm bảo tiêu chuẩn chất lượng. Việc thiếu kiểm định nghiêm ngặt khiến sản phẩm có thể tiềm ẩn nguy cơ ảnh hưởng sức khỏe.
Quy trình sản xuất và lắp đặt:
- Sản xuất răng sứ giá rẻ thường không sử dụng công nghệ hiện đại, dẫn đến độ chính xác không cao. Quy trình lắp đặt có thể không đạt chuẩn, gây ra nhiều hệ lụy lâu dài.
Ưu điểm của răng sứ giá rẻ
- Chi phí thấp: Mức giá của răng sứ giá rẻ thấp hơn đáng kể, phù hợp với những người có ngân sách hạn chế hoặc mong muốn giải pháp tạm thời.
- Quy trình thực hiện nhanh chóng: Do sử dụng kỹ thuật và vật liệu đơn giản, thời gian lắp đặt răng sứ giá rẻ thường ngắn hơn so với các loại răng sứ cao cấp.
- Tiếp cận dễ dàng: Với chi phí thấp, nhiều người có thể dễ dàng tiếp cận dịch vụ, đặc biệt khi họ cần một giải pháp ngắn hạn để cải thiện thẩm mỹ răng.
Răng sứ giá rẻ có tốt không?

Mặc dù có lợi thế về chi phí, răng sứ giá rẻ tiềm ẩn nhiều rủi ro mà người sử dụng cần cân nhắc kỹ lưỡng:
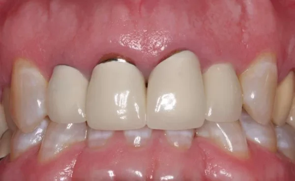
Chất lượng kém: Răng sứ kim loại dễ bị oxy hóa sau một thời gian sử dụng, gây đen viền nướu và mất thẩm mỹ. Vật liệu kém chất lượng dễ bị mài mòn, nứt vỡ hoặc bong tróc, đặc biệt khi bạn ăn nhai thực phẩm cứng hoặc dai.
Độ thẩm mỹ thấp: Răng sứ giá rẻ không có độ trong tự nhiên, màu sắc thường đục và thiếu sự sống động. Khi ánh sáng chiếu vào, răng sứ kim loại không có khả năng phản quang như răng toàn sứ, dễ gây cảm giác “giả” khi nhìn gần.
Nguy cơ viêm nhiễm: Quá trình lắp đặt không chuẩn xác có thể khiến răng sứ không ôm sát cùi răng thật, tạo khoảng hở. Đây là môi trường lý tưởng để vi khuẩn phát triển, dẫn đến viêm lợi, sâu răng hoặc viêm tủy.
Tuổi thọ ngắn: Răng sứ giá rẻ thường chỉ sử dụng được từ 3–5 năm, trong khi răng toàn sứ cao cấp có thể bền đẹp từ 10–20 năm hoặc hơn. Điều này khiến bạn phải sửa chữa hoặc thay mới thường xuyên, gây tốn kém lâu dài.
Gây khó chịu khi sử dụng: Nếu quy trình lắp đặt không đạt chuẩn, bạn có thể cảm thấy đau nhức, ê buốt hoặc khó chịu khi ăn nhai. Những triệu chứng này không chỉ ảnh hưởng đến sinh hoạt mà còn tác động tiêu cực đến sức khỏe tổng thể.
Làm thế nào để đảm bảo an toàn khi bọc răng sứ?
Nếu bạn đang cân nhắc bọc răng sứ, hãy lưu ý những điểm sau để đảm bảo kết quả thẩm mỹ và an toàn lâu dài:

Chọn nha khoa uy tín
- Lựa chọn các cơ sở nha khoa có giấy phép hoạt động rõ ràng, đội ngũ bác sĩ giàu kinh nghiệm và trang thiết bị hiện đại.
- Nha khoa uy tín luôn minh bạch về nguồn gốc răng sứ và quy trình thực hiện, giúp bạn yên tâm hơn khi sử dụng dịch vụ.
Tìm hiểu kỹ về các loại răng sứ
- Trước khi quyết định, bạn nên tìm hiểu kỹ về các loại răng sứ như răng sứ kim loại, răng sứ titan hay răng toàn sứ. Mỗi loại có đặc điểm, chi phí và tuổi thọ khác nhau, phù hợp với từng nhu cầu và ngân sách.
Kiểm tra tình trạng răng miệng
- Bác sĩ cần thực hiện kiểm tra kỹ lưỡng tình trạng răng miệng trước khi bọc răng sứ. Điều này giúp phát hiện và xử lý các vấn đề như sâu răng, viêm lợi hoặc lệch khớp cắn trước khi tiến hành phục hình.
Chăm sóc răng đúng cách sau khi bọc
- Đánh răng ít nhất hai lần mỗi ngày và sử dụng chỉ nha khoa để làm sạch các kẽ răng.
- Hạn chế ăn các loại thực phẩm cứng, dai hoặc quá nóng/lạnh để tránh làm hỏng răng sứ.
Kiểm tra định kỳ
- Định kỳ thăm khám nha khoa 6 tháng/lần để kiểm tra và vệ sinh răng miệng, giúp phát hiện sớm các vấn đề tiềm ẩn.
Răng sứ giá rẻ có thể là giải pháp ngắn hạn cho những người có ngân sách hạn chế. Tuy nhiên, xét về lâu dài, các rủi ro như chất lượng kém, nguy cơ viêm nhiễm và tuổi thọ thấp khiến đây không phải là lựa chọn tối ưu.





